Skip to Main Content
The HSHSL is a part of the University of Maryland, Baltimore | My UMB The Elm UM Shuttle Blackboard
Library Logo

601 West Lombard Street
Baltimore MD 21201-1512

Reference: 410-706-7996
Circulation: 410-706-7928

From CT to .STL: Create a Printable 3D Model from CT Scan Data: Using the itk-SNAP Interface

Using your mouse

NOTE: These instructions assume you are using a mouse with two buttons and a middle mouse wheel.

  • Left click: allows you to focus in on one plane in the axial direction. Left click moves the cross hairs in one plane, and then the other two planes change accordingly.
  • Right click: allows you to zoom in and out on an image.
  • Mouse wheel scroll: allows you to scroll up and down in the plane where the mouse cursor is located.
  • Mouse wheel click: allows you to click and drag an image.

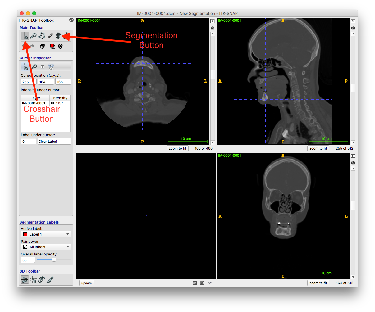
Crosshair & Segmentation Tool Buttons

The crosshair tool and semi-automatic segmentation tool buttons are both located in the "Main Toolbar" as shown in the image below:

4